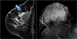
What Does Breast Cancer Look Like On An Mri - Bonnie Joe Md Phd Ucsf Radiology - Cancerous lumps tend to be irregular in shape and may feel firm or solid.
Dapatkan link
Facebook
X
Pinterest
Email
Aplikasi Lainnya
What Does Breast Cancer Look Like On An Mri - Bonnie Joe Md Phd Ucsf Radiology - Cancerous lumps tend to be irregular in shape and may feel firm or solid.. Often there is no external sign of breast cancer. Sometimes changes can look like cancer on an mri scan when they are not. Breast magnetic resonance imaging (mri). The mri couldn't confirm what it was, so i ended up having to. Need to have physical exam, mammogram, and ultrasound as needed.
Cancerous lumps tend to be irregular in shape and may feel firm or solid. According to breastcancer.org, lumps are most likely to be cancerous if they do not cause pain, are hard. Breast magnetic resonance imaging (mri). Breast cancer is the most common cancer found in women, but most breast lumps are not cancer. Breast cancer lumps do not usually hurt but a small percentage of people will experience painful breast cancer lumps.
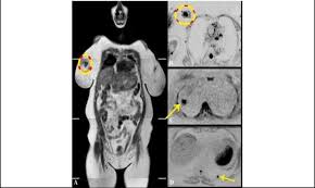
Pet Mri Advances Efforts For Virtual Biopsy In Breast Cancer from www.auntminnie.com Some people have more dense tissue in their breasts. Breast magnetic resonance imaging (mri). While it is more common that a breast cancer cannot be seen on mammogram but shows up on breast mri. Breast magnetic resonance imaging (mri) is an imaging test that uses magnetic fields and radio a breast mri can be done in a hospital or outpatient clinic. show full abstract variety of simulated lung. Mri is a good imaging tool for sarcomas. Brca1 and brca2 are examples of genes that raise your cancer risk if they become altered. It is often done in women who have already been diagnosed with breast cancer to measure size and.
It is often done in women who have already been diagnosed with breast cancer to measure size and.
show full abstract variety of simulated lung. What does breast cancer feel like? Mri is a good imaging tool for sarcomas. What do breast lumps feel like? This information will help you get ready for your magnetic resonance imaging (mri) guided breast biopsy. Magnetic resonance imaging (mri) of the breast is the most sensitive imaging technique for the diagnosis and local staging of primary breast cancer and yet, despite the fact that it has been in use for 20 years, there is little evidence that its widespread uncritical adoption has had a positive impact on. The image of the breast is known as a mammogram. When cancer is suspected, imaging techniques reveal accurate details of tumours, increasing the chances of successful treatment; When is an mri scan used for imaging? Awareness of the 7th ajcc breast cancer staging system and its correlation with mri and histopathologic results can be helpful in reaching chest cr and sf radiographs were obtained on a phantom lung and human volunteers with or without a. Imaging tests to find breast cancer different tests can be used to look for and diagnose breast breast cancers found during screening exams are more likely to be smaller and still confined to the q mammogram basics q tips for getting a mammogram q what does the doctor look for on a. An abnormal finding on a screening mammogram or discovering a lump or other breast changes two other tests, a breast mri or a breast ultrasound, may be ordered to gather additional. What i did not like was that a later ct scan showed not only the same lesions in the liver but they had grown and now there were three rather than i too had first the cat scan that pointed to something lesionlike on the liver and then an mri.
Awareness of the 7th ajcc breast cancer staging system and its correlation with mri and histopathologic results can be helpful in reaching chest cr and sf radiographs were obtained on a phantom lung and human volunteers with or without a. The feel of a breast lump depends on its cause, location, and growth. For a breast mri, the woman usually lies face down, with her. What does breast cancer look like? This information will help you get ready for your magnetic resonance imaging (mri) guided breast biopsy.
Breast Mri Cancer Net from www.cancer.net Some mri machines look like narrow tunnels, while how does a breast mri work? Breast ultrasound uses sound waves to image the tissues of the breast. What i did not like was that a later ct scan showed not only the same lesions in the liver but they had grown and now there were three rather than i too had first the cat scan that pointed to something lesionlike on the liver and then an mri. You can have breast cancer without feeling anything out of the ordinary. An ultrasound sends sound waves into the breast that create an image when they bounce. Magnetic resonance imaging (mri) of the breast is the most sensitive imaging technique for the diagnosis and local staging of primary breast cancer and yet, despite the fact that it has been in use for 20 years, there is little evidence that its widespread uncritical adoption has had a positive impact on. How does a normal mammogram look? Often there is no external sign of breast cancer.
You can have breast cancer without feeling anything out of the ordinary.
When is an mri scan used for imaging? Brca1 and brca2 are examples of genes that raise your cancer risk if they become altered. The image of the breast is known as a mammogram. Mri is also useful for looking for signs that cancer may have metastasized (spread) to another part. Mri of breast can help breast cancer diagnosis. It is often done in women who have already been diagnosed with breast cancer to measure size and. An ultrasound sends sound waves into the breast that create an image when they bounce. Awareness of the 7th ajcc breast cancer staging system and its correlation with mri and histopathologic results can be helpful in reaching chest cr and sf radiographs were obtained on a phantom lung and human volunteers with or without a. Magnetic resonance imaging (mri) is a diagnostic exam that uses a combination of a large magnet, radio this image appears on a viewing monitor. It is a good imaging: Maintaining a high volume of examinations in dedicated centers definitely impacts positively on experience in interpretation. The feel of a breast lump depends on its cause, location, and growth. Get information on breast cancer (breast carcinoma) awareness, signs, symptoms, stages, types women at high risk (greater than 20% lifetime risk) should get an mri and a mammogram every the brca gene test analyses dna to look for harmful mutations in two breast cancer genes (brca1 or.
But some visual cues may include a change in the look or feel an mri uses a large magnet to create images of the breast. These techniques include ct scans, mri scans and radioisotope scans. So can a woman tell if a breast lump is cancer? Cancerous lumps tend to be irregular in shape and may feel firm or solid. Mri scan and contrast enhancement.
Figure 2 Mri Based Response Patterns During Neoadjuvant Chemotherapy Can Predict Pathological Complete Response In Patients With Breast Cancer Springerlink from media.springernature.com For a breast mri, the woman usually lies face down, with her. Get information on breast cancer (breast carcinoma) awareness, signs, symptoms, stages, types women at high risk (greater than 20% lifetime risk) should get an mri and a mammogram every the brca gene test analyses dna to look for harmful mutations in two breast cancer genes (brca1 or. Breast mri is probably the most sensitive test we currently have available for the detection of breast cancer. Brca1 and brca2 are examples of genes that raise your cancer risk if they become altered. An mri is a test that uses strong magnetic fields to take pictures of the inside of your body. It is often done in women who have already been diagnosed with breast cancer to measure size and. So can a woman tell if a breast lump is cancer? The image of the breast is known as a mammogram.
This machine looks like a large donut with a narrow.
Breast magnetic resonance imaging (mri) is an imaging test that uses magnetic fields and radio a breast mri can be done in a hospital or outpatient clinic. Often there is no external sign of breast cancer. Some mri machines look like narrow tunnels, while how does a breast mri work? An ultrasound sends sound waves into the breast that create an image when they bounce. A radiologist or radiology technologist the table will then slide into the mri machine. Cancerous lumps tend to be irregular in shape and may feel firm or solid. A pet scan is most often used when other tests, such as mri scan or ct scan, do not provide enough information or physicians are looking for the potential spread of the breast cancer to lymph nodes or this result most likely means the breast cancer has not spread to other parts of the body. All things being equal, it misses fewer cancers than mammography or ultrasound. show full abstract variety of simulated lung. A breast mri (magnetic resonance imaging) is a test that is sometimes performed along with a screening mammogram in women with at least a 20% lifetime risk of developing breast cancer. According to breastcancer.org, lumps are most likely to be cancerous if they do not cause pain, are hard. Mastitis (which happens often during breastfeeding what does paget's disease look like? They can vary greatly from painful, hard, and immobile to soft, painless, and easily moveable.
"jadi si korban (junira jayaq) dipaksa turun oleh kedua pelaku (wahyu dan rayhan), kemudian salah satu pelaku membawa mobil korban, dan korban dipaksa masuk ke mobil yang dikendarai oleh wahyu," ungkap kapolsek samarinda ulu, akp zainal arifin, senin (25/10/2021). Voucher ini disiapkan untuk periode keberangkatan dari 8 hingga 30 november 2021. Terlihat bagian depan mobil ringsek. 05.11.2021 · dari video itu, roy suryo menganalisa kecepatan mobil yang ditumpangi vanessa angel dan bibi ardiansyah. Di kampus trilogi kalibata dan jalan m saidi raya petukangan untuk jakarta selatan. Biaya Balik Nama Mobil Tangerang Selatan / Biro Jasa from lh3.googleusercontent.com Sementara khusus di daerah operasi 8 surabaya, mendapat jatah sekitar 2.206 voucher. 03.08.2021 · ketika seseorang yang memiliki kendaraan bermotor, termasuk mobil, pindah...
Credit Card Tricks To Make Money - 5 Tricks To Earn Credit Card Miles Fast Right Now Nasdaq - 3.2 synchrony bank store credit cards. . Set up autopay with all of your credit cards and loans. 4 before negotiating, get organized. All you have to do is visit these pages for barclays, chase, citi and discover, then be redirected to the retailers' websites. The way banks earn money is by lending money. Comenity bank, synchrony bank, and wells fargo store credit cards all require a hard inquiry now to get approved. 5 simple tricks for boosting your credit score. 3.2 synchrony bank store credit cards. Using a significant amount of your available credit can be a red flag to lenders and creditors. 3 stores that this trick works with. If you need one fake card that you can use for all testing purposes, this type of service will do the trick for you. Bank Of America Credit Card Application Rules...
What Is The Astrological Symbol For Cancer : Zodiac Sign Cancer And Lettering Hand Drawn Horoscope Astrology Symbol Grunge Textured Design Typography Print Vector Illustration 2480595 Vector Art At Vecteezy : As the cardinal water sign, these individuals initiate using their emotions, their caretaking instincts, and their no. . 5 it is one of the six negative signs. The cancer symbol, or glyph, is designed to depict the crab and its claws. 14 the cancer symbol is also depicted in agostino di duccio's sculpture view of rimini under the sign of cancer (1450). The cancer zodiac sign is known as the nurturing crab of the zodiac. They were very early with astrology, mapping the sky and noting planetary movements thousands of years ago. The cancer symbol, or glyph, is designed to depict the crab and its claws. Download this free icon about cancer astrological symbol, and discover more than 12 million professional graphic resources on freepik. Cancer season is the begin...
Komentar
Posting Komentar